miércoles, 14 de noviembre de 2018
jueves, 25 de octubre de 2018
MI HOBBY
Equipo de protección personal requeridos
Equipo de protección personal requeridos

2.3. Procedimiento operacional
2.3.1. Recomendaciones generales § Responsables:
* Realizar exámenes médicos, examen clínico general y los exámenes complementarios (Resolución 2400 de 1979 art 100).
* Mantener plena información sobre el tipo de radiación a manejar. Conocer muy bien la información que suministra el manual de operación del equipo y asegurarse de que se cumplan
*Capitación, inducción y entrenamiento en: o Conocimiento y utilización de los equipos y medios de protección personal.
* Actuación en caso de emergencia.
* Importancia del cumplimiento de las medidas técnicas y médicas.
* Responsabilidad derivada de su puesto de trabajo con respecto a la protección radiológica; Además sobre el uso e importancia de los elementos de protección personal, todo el personal que este expuesta debe tener el equipo de protección personal.
* La persona deberá alejarse de la dirección del haz de rayos x como mínimo 1,50mts.

2.3. Procedimiento operacional
2.3.1. Recomendaciones generales § Responsables:
* Realizar exámenes médicos, examen clínico general y los exámenes complementarios (Resolución 2400 de 1979 art 100).
* Mantener plena información sobre el tipo de radiación a manejar. Conocer muy bien la información que suministra el manual de operación del equipo y asegurarse de que se cumplan
*Capitación, inducción y entrenamiento en: o Conocimiento y utilización de los equipos y medios de protección personal.
* Actuación en caso de emergencia.
* Importancia del cumplimiento de las medidas técnicas y médicas.
* Responsabilidad derivada de su puesto de trabajo con respecto a la protección radiológica; Además sobre el uso e importancia de los elementos de protección personal, todo el personal que este expuesta debe tener el equipo de protección personal.
* La persona deberá alejarse de la dirección del haz de rayos x como mínimo 1,50mts.
PROTOCOLO DE SEGURIDAD PARA TRABAJOS CON RADIACIONES IONIZANTES
GESTIÓN DE RIESGOS OCUPACIONALES
Definición
Establecer los lineamientos para realizar trabajos con radiaciones ionizantes (rayos x, rayos gamma γ, rayos beta β y partículas alfa α) con el fin de garantizar la protección del personal expuesto y la seguridad de las fuentes de radiación para evitar accidentes y enfermedades laborales. El protocolo aplica a todo el personal de la Universidad de Antioquia que en sus labores tenga exposición a radiaciones ionizantes.
2. Contenido
2.1. Radiaciones ionizantes Las radiaciones electromagnéticas o corpusculares son capaces de producir iones de carga positiva, directa o indirectamente, a su paso a través de la materia y comprende las radiaciones emitidas por los tubos de rayos x, y los aceleradores de partículas, las radiaciones emitidas por las sustancias radiactivas, así como los neutrones.
2.1.1. Rayos x Los Rayos X son de naturaleza electromagnética, pero se originan en los orbitales de los átomos, como consecuencia de la acción de los electrones rápidos sobre la corteza del átomo. Son de menor energía, pero presentan una gran capacidad de penetración y son absorbidos por apantallamientos especiales de grosor elevado.
2.1.2. Radiación Gamma γ Los rayos γ son radiaciones electromagnéticas procedentes del núcleo del átomo, tienen menor nivel de energía que las radiaciones α y β y mayor capacidad de penetración, lo que dificulta su absorción por los apantallamientos.
2.1.3. Radiación Beta β Radiación β- son electrones emitidos desde el núcleo del átomo como consecuencia de la transformación de un neutrón en un protón y un electrón. La Radiación β+ es la emisión de un positrón, partícula de masa igual al electrón carga positiva, como resultado de la transformación de un protón en un neutrón y un positrón. Las radiaciones β tienen un nivel de energía menor que la α y una capacidad de penetración mayor y son absorbidas por una lámina de metal.
2.1.4. Radiación Alfa α Radiación Alfa α Son núcleos de helio cargados positivamente; tienen una energía muy elevada y muy baja capacidad de penetración y las detiene una hoja de papel.
Definición
Establecer los lineamientos para realizar trabajos con radiaciones ionizantes (rayos x, rayos gamma γ, rayos beta β y partículas alfa α) con el fin de garantizar la protección del personal expuesto y la seguridad de las fuentes de radiación para evitar accidentes y enfermedades laborales. El protocolo aplica a todo el personal de la Universidad de Antioquia que en sus labores tenga exposición a radiaciones ionizantes.
2. Contenido
2.1. Radiaciones ionizantes Las radiaciones electromagnéticas o corpusculares son capaces de producir iones de carga positiva, directa o indirectamente, a su paso a través de la materia y comprende las radiaciones emitidas por los tubos de rayos x, y los aceleradores de partículas, las radiaciones emitidas por las sustancias radiactivas, así como los neutrones.
2.1.1. Rayos x Los Rayos X son de naturaleza electromagnética, pero se originan en los orbitales de los átomos, como consecuencia de la acción de los electrones rápidos sobre la corteza del átomo. Son de menor energía, pero presentan una gran capacidad de penetración y son absorbidos por apantallamientos especiales de grosor elevado.
2.1.2. Radiación Gamma γ Los rayos γ son radiaciones electromagnéticas procedentes del núcleo del átomo, tienen menor nivel de energía que las radiaciones α y β y mayor capacidad de penetración, lo que dificulta su absorción por los apantallamientos.
2.1.3. Radiación Beta β Radiación β- son electrones emitidos desde el núcleo del átomo como consecuencia de la transformación de un neutrón en un protón y un electrón. La Radiación β+ es la emisión de un positrón, partícula de masa igual al electrón carga positiva, como resultado de la transformación de un protón en un neutrón y un positrón. Las radiaciones β tienen un nivel de energía menor que la α y una capacidad de penetración mayor y son absorbidas por una lámina de metal.
2.1.4. Radiación Alfa α Radiación Alfa α Son núcleos de helio cargados positivamente; tienen una energía muy elevada y muy baja capacidad de penetración y las detiene una hoja de papel.
RADIOLOGÍA INTERVENCIONISTA
Los radiólogos intervencionistas son médicos que utilizan imágenes tales como tomografía computarizada (TC), ecografía, resonancia magnética (RM) y fluoroscopia para ayudar a guiar los procedimientos. Las imágenes son útiles para el médico al introducir catéteres (sondas), alambres y otros instrumentos y herramientas pequeñas en su cuerpo. Esto particularmente se considera para incisiones (cortes) pequeñas.
Los médicos pueden usar esta tecnología para diagnosticar o tratar afecciones en casi cualquier parte del cuerpo, en lugar de tener que mirar directamente dentro de su cuerpo a través de un endoscopio (cámara) o con una cirugía abierta.
Los radiólogos intervencionistas con frecuencia están involucrados en el tratamiento de cánceres o tumores, bloqueos en arterias y venas, miomas uterinos, dolor de espalda, problemas hepáticos y renales.
El médico no hará ninguna incisión (corte) o solo una muy pequeña. Usted rara vez necesita quedarse en el hospital después del procedimiento. La mayoría de los pacientes necesita solamente sedación moderada (medicinas para ayudarlo a relajarse).
Los ejemplos de procedimientos radiológicos intervencionistas incluyen:
· Angiografía o angioplastia y colocación de stent (endoprótesis vascular)
· Embolización para controlar el sangrado
· Tratamientos contra el cáncer, incluso embolización de tumor mediante quimioembolización o radioembolización con Y-90
· Ablación de tumor por radiofrecuencia, crioablación o ablación por microondas
· Vertebroplastia y cifoplastia
· Biopsias por punción de diferentes órganos, como los pulmones y la tiroides
· Biopsia de mama, guiada ya sea por técnicas estereotácticas o de ultrasonido
· Embolización de las arterias uterinas
· Colocación de sonda de alimentación
· Colocación de catéter para acceso venoso comopuertos y PICC
RADIOLOGÍA DIAGNOSTICA
IMAGENEOLOGIA Y RADIOLOGÍA
La radiología es una rama de la medicina que utiliza la tecnología imagenológica para diagnosticar y tratar una enfermedad.
Se puede dividir en dos áreas diferentes: radiología diagnóstica y radiología intervencionista. Los médicos que se especializan en radiología se denominan radiólogos.
RADIOLOGÍA DIAGNÓSTICA
La radiología diagnóstica les ayuda a los profesionales de la salud a ver estructuras dentro del cuerpo. Los médicos que se especializan en la interpretación de estas imágenes se denominan radiólogos de diagnóstico. Mediante estas imágenes, el radiólogo u otros médicos con frecuencia pueden:
· Diagnosticar la causa de sus síntomas
· Vigilar qué tan bien está respondiendo su cuerpo a un tratamiento que usted está recibiendo para su enfermedad o afección
· Detectar diferentes enfermedades, como cáncer de mama, cáncer de colon o cardiopatía
Los tipos más comunes de exámenes radiológicos de diagnóstico incluyen:
· Tomografía computarizada (TC), también conocida como tomografía axial computarizada (TAC), que incluye angiotomografía por TC
· Fluoroscopia con escaneo, que incluye tránsito esofagogastroduodenal y enema opaco
· Resonancia magnética (RM) y angiografía por resonancia magnética (ARM)
· Mamografía
· Medicina nuclear, la cual abarca exámenes como una gammagrafía ósea, gammagrafía de tiroides y prueba de esfuerzo con talio
· Radiografías simples, que incluyen radiografía de tórax
· Tomografía por emisión de positrones, también llamada imágenes por TEP o gammagrafía por TEP, o TEP por TC cuando se combina con la tomografía computarizada
· Ultasonido
CHEF COCINERA
COCINERA CHEF
Soy una cocinera chef en restaurantes de marisquerías puedo: preparar, cocinar y presentar la comida y elaborar los menús en restaurantes.
Tipos de personalidades
· Realista / Convencional
· Artístico / Realista
· Realista / Emprendedor
Tareas cocinero de restaurante
· Preparar los ingredientes para consumir o cocinar (p.ej., lavar, pelar, cortar y desengranar las frutas y las verduras y cortar la carne).
· Comprobar la calidad de la comida, p.ej., probándola, oliéndola, atravesándola con utensilios, etc.
· Pesar, medir y mezclar ingredientes según las recetas y el criterio personal, utilizando diferentes utensilios y equipos de cocina.
· Regular la temperatura de hornos, parrillas, asadores y otros equipos de cocina.
· Condimentar y cocinar el alimento según las recetas, el criterio personal o la experiencia, utilizando una serie de métodos (por ejemplo, hornear, estofar, freir, asar, tostar y cocer al vapor).
· Dividir el alimento en porciones y asegurarse de que está bien presentado.
· Entregar los platos a los camareros o servir a los clientes.
· Preparar menús y calcular las necesidades de alimentos y los costes.
· Controlar, pedir, recibir y almacenar los suministros (de alimentos) y evitar que se estropeen.
· Inspeccionar y limpiar la cocina, el equipo de cocina, las áreas de servicio, etc., para garantizar la seguridad y las prácticas higiénicas de manejo de alimentos.
Ocupaciones afines cocineras
· Cocinera chef
Soy una cocinera chef en restaurantes de marisquerías puedo: preparar, cocinar y presentar la comida y elaborar los menús en restaurantes.
Tipos de personalidades
· Realista / Convencional
· Artístico / Realista
· Realista / Emprendedor
Tareas cocinero de restaurante
· Preparar los ingredientes para consumir o cocinar (p.ej., lavar, pelar, cortar y desengranar las frutas y las verduras y cortar la carne).
· Comprobar la calidad de la comida, p.ej., probándola, oliéndola, atravesándola con utensilios, etc.
· Pesar, medir y mezclar ingredientes según las recetas y el criterio personal, utilizando diferentes utensilios y equipos de cocina.
· Regular la temperatura de hornos, parrillas, asadores y otros equipos de cocina.
· Condimentar y cocinar el alimento según las recetas, el criterio personal o la experiencia, utilizando una serie de métodos (por ejemplo, hornear, estofar, freir, asar, tostar y cocer al vapor).
· Dividir el alimento en porciones y asegurarse de que está bien presentado.
· Entregar los platos a los camareros o servir a los clientes.
· Preparar menús y calcular las necesidades de alimentos y los costes.
· Controlar, pedir, recibir y almacenar los suministros (de alimentos) y evitar que se estropeen.
· Inspeccionar y limpiar la cocina, el equipo de cocina, las áreas de servicio, etc., para garantizar la seguridad y las prácticas higiénicas de manejo de alimentos.
Ocupaciones afines cocineras
· Cocinera chef
ESTÉTICA PERSONAL_cosmetóloga
Estética Personal
Peluquería
El especialista en Peluquería desarrolla el conjunto de trabajos relacionados con el cuidado, arreglo y embellecimiento del cabello, implicando servicios como los de la atención al cliente, tratamientos capilares, lavado, corte del cabello, peinado y marcado.
Currícula
Tratamiento capilar
Corte de cabello
Peinados
Ondulación
Tinte directo
Campo Laboral
Estilista para Empresas o Independiente
Empresas de Barbershop
Prestación de servicios de peluquería y de asesoramiento y atención en Salones de Belleza
Departamentos de peluquería de cadenas de TV, teatros, etc.
Títulos y Certificados
Experto en Peluquería y Estética Personal
Duración de estudio que tuve: 2 años
COSMETOLOGÍA
El profesional de esta carrera está capacitado para ejercer profesionalmente las actividades relacionadas al cuidado de la piel y la aplicación de técnicas de estética corporal; realiza cortes, peinados, teñidos, extensiones, tratamientos al cabello; maquillajes, depilaciones, entre otras funciones relacionadas al cuidado de la belleza.
Currícula
Colorimetria
Depilación
Manicure y pedicure
Tratamiento facial
Maquillaje
Campo Laboral
Empresas de Centro de Belleza
Centros de Belleza Integral
Spa
Centros de Estética
Títulos y Certificados
Profesional Técnico en Cosmetología y Estética Personal
Título a nombre de la Nación
Duración de estudio que tuve: 3años
martes, 23 de octubre de 2018
SOBRE MI

☺️☺️ SOBRE MI☺️♥️♥️♥️♥️♥️
Mi nombre es Verónica Rivera Bravo❤️ tengo 17 años
* soy una persona muy sociable,divertida,carismática ☺️☺️, renegona y
extrovertida. Soy una estudiante de la carrera de Tecnología Medica especialidad de Radiología, estoy cursando el segundo ciclo en la Universidad Peruana los Andes .
Me gusta hablar los temas de mi carrera y compartir mis experiencias con mis amig@s ☺️♥️❤️♡. Mi objetivo es ser una buena profesional y ser el orgullo de mis padres.Me siento muy feliz que mis padres me apoyan en todo momento por eso mis ojos esta puesto en terminar mi meta.

lunes, 22 de octubre de 2018
SERVICIO DE INYECTABLES
INYECTABLES QUE PUEDO HACER DURANTE ESTA ETAPA QUE LO ESTOY ESTUDIANDO
Distintas vías de administración parenteral
Introducción
Los inyectables pertenecen al grupo de los medicamentos que se administran por vía parenteral.
Las vías de administración de inyectables son las siguientes:
Intravenosa
Intradérmica
Subcutánea
Intramuscular
Vía Intravenosa
La usaremos para administrar medicación urgente, para tratamientos de sueroterapia y para la administración de fármacos diluídos. Lo haremos mediante la canalización de una vía venosa periférica o un catéter central. La canalización de una vía periférica ya se explicó en otro capítulo, por lo que no lo repetiremos y la canalización de una vía central la realizará un facultativo. Es la vía más rápida, es decir, el tiempo de absorción del medicamento es inmediato.
Vía Intradérmica
La usaremos para realizar la prueba del mantoux, pruebas cutáneas, como la de la alergia y la administración de anestésicos locales. Se trata de introducir en la dermis una cantidad de medicamento no superior a 0,3 ml mediante aguja y jeringa. La zona más usada para el uso de esta vía es la cara anterior del antebrazo, entre cuatro traveses de dedo por encima de la muñeca y dos por debajo de la flexura del codo.
Material
Jeringa de insulina o de 1 ml.
Aguja del nº 25 o 26 G de bisel corto, suele ser naranja o transparente.
Gasas.
Alcohol 70º .
Guantes desechables.
Rotulador indeleble.
Procedimiento
Lo primero que haremos es informar al paciente, nos lavaremos las manos y nos pondremos los guantes. Limpiaremos la zona con alcohol, siempre en circulos de dentro hacia fuera. Con una mano mano tensaremos la piel de la zona a puncionar y con la otra introduciremos la aguja casi paralela a la piel y con el bisel hacia arriba. Inocularemos la medicación muy lentamente, hasta que veamos que se forma una pápula. Retiraremos la aguja sin hacer presión sobre la pápula y la rodearamos con un circulo que dibujaremos con el rotulador.
Vía Subcutánea
La usaremos para la introducción de un medicamento en el tejido subcutáneo, adiposo o tejido graso. Los medicamentos más utilizados para esta vía son las vacunas, heparinas e insulinas. El volumen a introducir suele oscilar entre 1,5 ml y 2 ml. Es una vía de absorción lenta. Laz zonas más usadas para esta vía son la cara externa del brazo, cara anterior del muslo, tejido laxo del abdomen y la zona escapular de la espalda.
Material
Jeringa de 1 o 2 ml.
Aguja del nº 24-27 G de bisel medio, es naranja.
Gasas.
Alcohol 70º o suero fisiológico.
Guantes desechables.
Procedimiento
Informaremos al paciente de la técnica a realizar, nos lavaremos las manos y nos pondremos los guantes. Elegiremos la zona de punción y la limpiaremos con alcohol (si se trata de la administración de vacunas, limpiaremos con suero fisiológico). A continuación cogeremos un pellizco de la piel y pincharemos en un ángulo de 45º y con el bisel de la aguja hacia arriba (si se trata de administrar heparina, el ángulo de punción será de 90º). Introduciremos el medicamento y retiraremos la aguja. Es importante informar al paciente al que se le administra heparina, que no toque ni presione la zona de punción, para evitar la aparición de hematomas.
Vía Intramuscular
La usaremos para la administración de medicación en el músculo. Los medicamentos más utilizados para esta vía son las vacunas y otros fármacos como analgésicos, antiinflamatorios, antibióticos, corticoides, etc. El volumen que se inyecta no sobrepasa los 15 ml. Es una vía de absorción mas rápida que la subcutánea, su efecto aparece alrededor de 15 minutos debido a la vascularización del músculo. Las zonas de punción que se utilizan son el cuadrante superior externo del glúteo, deltoides y vasto lateral de la pierna. Tendremos en cuenta que a los niños menores de 3 años, se les pinchará en el vasto lateral de la pierna.
Material
Jeringas de 2 o 5 ml.
Agujas del nº 19-23 G de bisel medio, en adultos es verde y en niños azul.
Gasas.
Alcohol o suero fisiológico.
Guantes desechables.
Procedimiento
Informaremos al paciente, nos lavaremos las manos y nos pondremos los guantes. Elegiremos la zona de punción y la limpiaremos con alcohol (como en la vía subcutánea, si se trata de administrar una vacuna, limpiaremos con suero). Introduciremos la aguja rapidamente en un ángulo de 90º directamente al músculo, adaptaremos la jeringa cargada y aspiraremos para comprobar que no hayamos pinchado un capilar. A continuación inocularemos el medicamento lentamente, ya que es una vía dolorosa (ésto se debe a que las fibras musculares permanecen muy pegadas y al inyectar líquido o material oleoso, vamos haciendo que éstas se despeguen provocando el dolor). Al acabar, retiraremos la aguja y la jeringa a la vez y presionaremos con una gasa la zona de punción haciendo leves movimientos musculares.
Preparación del medicamento
Los medicamentos inyectables nos los encontraremos en dos tipos de recipientes de cristal que son:
Ampollas: Son un sistema cerrado, tienen un cuello largo que presenta una constricción en su base. Una vez roto el cuello será un sistema abierto del cual podemos aspirar el medicamento por la abertura que hemos creado.
Viales: Son un sistema cerrado, tienen un cuello corto y un tapón de plástico duro forrado externamente por metal. Para extraer el contenido, inyectaremos un volumen de aire igual al volumen de la sustancia que queremos extraer.
El fármaco puede venir presentado para administrarlo directamente (forma líquida) o para mezclarlo previamente con un disolvente (en polvo).
La aguja que usaremos para cargar la medicación no será la misma que usaremos para administrárselo al paciente. Ya hemos visto las distintas agujas a usar según el tipo de vía de administración. Las que usaremos para cargar la medicación se llaman cargadoras, son de color rosa, tienen un calibre de 14-16 G y un bisel medio.
Distintas vías de administración parenteral
Introducción
Los inyectables pertenecen al grupo de los medicamentos que se administran por vía parenteral.
Las vías de administración de inyectables son las siguientes:
Intravenosa
Intradérmica
Subcutánea
Intramuscular
Vía Intravenosa
La usaremos para administrar medicación urgente, para tratamientos de sueroterapia y para la administración de fármacos diluídos. Lo haremos mediante la canalización de una vía venosa periférica o un catéter central. La canalización de una vía periférica ya se explicó en otro capítulo, por lo que no lo repetiremos y la canalización de una vía central la realizará un facultativo. Es la vía más rápida, es decir, el tiempo de absorción del medicamento es inmediato.
Vía Intradérmica
La usaremos para realizar la prueba del mantoux, pruebas cutáneas, como la de la alergia y la administración de anestésicos locales. Se trata de introducir en la dermis una cantidad de medicamento no superior a 0,3 ml mediante aguja y jeringa. La zona más usada para el uso de esta vía es la cara anterior del antebrazo, entre cuatro traveses de dedo por encima de la muñeca y dos por debajo de la flexura del codo.
Material
Jeringa de insulina o de 1 ml.
Aguja del nº 25 o 26 G de bisel corto, suele ser naranja o transparente.
Gasas.
Alcohol 70º .
Guantes desechables.
Rotulador indeleble.
Procedimiento
Lo primero que haremos es informar al paciente, nos lavaremos las manos y nos pondremos los guantes. Limpiaremos la zona con alcohol, siempre en circulos de dentro hacia fuera. Con una mano mano tensaremos la piel de la zona a puncionar y con la otra introduciremos la aguja casi paralela a la piel y con el bisel hacia arriba. Inocularemos la medicación muy lentamente, hasta que veamos que se forma una pápula. Retiraremos la aguja sin hacer presión sobre la pápula y la rodearamos con un circulo que dibujaremos con el rotulador.
Vía Subcutánea
La usaremos para la introducción de un medicamento en el tejido subcutáneo, adiposo o tejido graso. Los medicamentos más utilizados para esta vía son las vacunas, heparinas e insulinas. El volumen a introducir suele oscilar entre 1,5 ml y 2 ml. Es una vía de absorción lenta. Laz zonas más usadas para esta vía son la cara externa del brazo, cara anterior del muslo, tejido laxo del abdomen y la zona escapular de la espalda.
Material
Jeringa de 1 o 2 ml.
Aguja del nº 24-27 G de bisel medio, es naranja.
Gasas.
Alcohol 70º o suero fisiológico.
Guantes desechables.
Procedimiento
Informaremos al paciente de la técnica a realizar, nos lavaremos las manos y nos pondremos los guantes. Elegiremos la zona de punción y la limpiaremos con alcohol (si se trata de la administración de vacunas, limpiaremos con suero fisiológico). A continuación cogeremos un pellizco de la piel y pincharemos en un ángulo de 45º y con el bisel de la aguja hacia arriba (si se trata de administrar heparina, el ángulo de punción será de 90º). Introduciremos el medicamento y retiraremos la aguja. Es importante informar al paciente al que se le administra heparina, que no toque ni presione la zona de punción, para evitar la aparición de hematomas.
Vía Intramuscular
La usaremos para la administración de medicación en el músculo. Los medicamentos más utilizados para esta vía son las vacunas y otros fármacos como analgésicos, antiinflamatorios, antibióticos, corticoides, etc. El volumen que se inyecta no sobrepasa los 15 ml. Es una vía de absorción mas rápida que la subcutánea, su efecto aparece alrededor de 15 minutos debido a la vascularización del músculo. Las zonas de punción que se utilizan son el cuadrante superior externo del glúteo, deltoides y vasto lateral de la pierna. Tendremos en cuenta que a los niños menores de 3 años, se les pinchará en el vasto lateral de la pierna.
Material
Jeringas de 2 o 5 ml.
Agujas del nº 19-23 G de bisel medio, en adultos es verde y en niños azul.
Gasas.
Alcohol o suero fisiológico.
Guantes desechables.
Procedimiento
Informaremos al paciente, nos lavaremos las manos y nos pondremos los guantes. Elegiremos la zona de punción y la limpiaremos con alcohol (como en la vía subcutánea, si se trata de administrar una vacuna, limpiaremos con suero). Introduciremos la aguja rapidamente en un ángulo de 90º directamente al músculo, adaptaremos la jeringa cargada y aspiraremos para comprobar que no hayamos pinchado un capilar. A continuación inocularemos el medicamento lentamente, ya que es una vía dolorosa (ésto se debe a que las fibras musculares permanecen muy pegadas y al inyectar líquido o material oleoso, vamos haciendo que éstas se despeguen provocando el dolor). Al acabar, retiraremos la aguja y la jeringa a la vez y presionaremos con una gasa la zona de punción haciendo leves movimientos musculares.
Preparación del medicamento
Los medicamentos inyectables nos los encontraremos en dos tipos de recipientes de cristal que son:
Ampollas: Son un sistema cerrado, tienen un cuello largo que presenta una constricción en su base. Una vez roto el cuello será un sistema abierto del cual podemos aspirar el medicamento por la abertura que hemos creado.
Viales: Son un sistema cerrado, tienen un cuello corto y un tapón de plástico duro forrado externamente por metal. Para extraer el contenido, inyectaremos un volumen de aire igual al volumen de la sustancia que queremos extraer.
El fármaco puede venir presentado para administrarlo directamente (forma líquida) o para mezclarlo previamente con un disolvente (en polvo).
La aguja que usaremos para cargar la medicación no será la misma que usaremos para administrárselo al paciente. Ya hemos visto las distintas agujas a usar según el tipo de vía de administración. Las que usaremos para cargar la medicación se llaman cargadoras, son de color rosa, tienen un calibre de 14-16 G y un bisel medio.
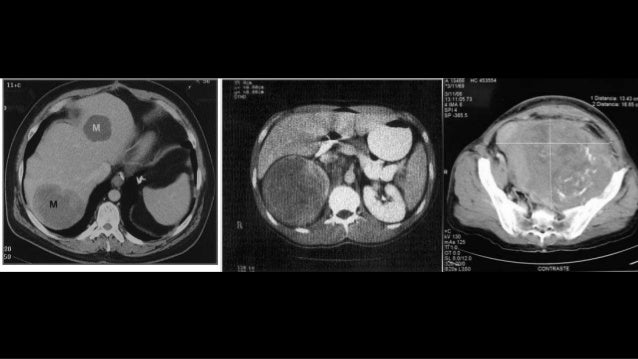
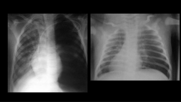
PROTOCOLOS DE LA RADIOLOGIA
RADIOLOGÍA

El Tecnólogo Médico en Radiología es un profesional que posee una sólida formación integral, académica, científica y humanística, desarrollando principios éticos y morales. Planifica, evalúa, aplica, modifica e innova métodos, procedimientos y tecnologías en la aplicación de las radiaciones ionizantes y no ionizantes, para la obtención de imágenes de ayuda diagnóstica y/o tratamiento, dosificándolas racionalmente y permitiéndole contribuir al fomento, promoción, recuperación y rehabilitación de la salud, así como en cualquier otra aplicación relacionada al uso de las radiaciones, investigación y/o seguridad radiológica.
La especialidad de Radiología, en la actualidad, engloba diferentes áreas de desempeño profesional del Tecnólogo Médico, como son: Radiodiagnóstico, Medicina Nuclear, Tomografía Computarizada, Resonancia Magnética, Radioterapia y Ultrasonido.
Está capacitado para desempeñarse en las siguientes especialidades:
Radiodiagnóstico
Realiza exámenes radiológicos y en los casos que se requiera prepara y administra las sustancias de contraste y esta preparado para contrarrestar las posibles reacciones adversas a la administración de los mismo. Participa en la ejecución de procedimientos intervencionistas.
Radioterapia
Conoce, maneja y aplica tratamiento con fines terapéuticos según los protocolos establecidos, utilizando la radiación ionizante, en el tratamiento de neoplasias, tanto antes como después de la cirugía y/o quimioterapia. Realiza y/o colabora en el calculo y fraccionamiento de la dosis de tratamiento.
Ultrasonido
Realiza exámenes ultrasonográficos de los diversos sistemas, aparatos y sistemas del organismo con el fin de descartar imágenes patológicas elaborando el reporte correspondiente el cual se transfiere al medico especialista.
Tomografía computada – Resonancia Magnética
Realiza los exámenes solicitados según los protocolos establecidos tanto simples como contrastados, pero sin limitar su capacidad de decisión de variar o no el protocolo del examen al encontrar una supuesta anormalidad ya que tiene como referencia la presunción diagnóstica, que servirá para un mejor diagnóstico. Realiza procedimientos posteriores al examen, reconstrucciones MPR, MIP y mediciones como también impresiones de las imágenes.
Densitometría
Realiza los exámenes correspondientes que ayudan a determinar el grado de matriz ósea de la persona aportando datos importantes sobre su estado, para llegar a un mejor tratamiento y pronostico mejorando la calidad de vida del paciente.
Medicina Nuclear
Realiza la administración de isótopos primarios y radiofármacos obteniendo imágenes gammagráficos, de tipo planar como tomografías (SPECT ó PET) los cuales luego de un adecuado procesamiento digital y/o analógico servirán al Médico para evacuar un diagnóstico.
Asimismo, realiza a través de la administración de isotopos primarios, sustancias marcados ó radiofármacos adecuados, el control de la poliferación de celulares inmaduras (tratamiento de la policitemia vera con Fósforo 32), la paliación del dolor óseo en caso de metástasis (con Samario 153, Estroncio 89) etc.
AMBITO DE ACCION
AMBITO ADMINISTRATIVO-ASISTENCIAL
» Se desempeña en Instituciones de Salud, tanto públicas como privadas, como son: Hospitales, Clínicas, Institutos Especializados, Policlínicos, Centros Médicos, Centros de Salud y otros.
AMBITO EDUCATIVO
» Brinda capacitación en centro de estudios, en sus diferentes niveles, inicial, primario, secundario, universitario, y, en Institutos, mediante el uso de charlas ido conferencias sobre problemas de salud, buscando así, elevar los niveles de prevención de enfermedades prevalentes dentro de la comunidad.
» En centros de formación universitaria, tanto públicas como privadas, realizando labor docente, docente/asistencial y administrativa.
AMBITO EMPRESARIAL
» Brinda servicio de asesoría, promoción y difusión en diferentes entidades comerciales relacionadas al área de Radiología y/o de venta de insumos.
AMBITO LEGAL
» Dentro del ámbito Judicial, realiza funciones de Perito en el área de su competencia.
AMBITO PARTICULAR
» Realiza función asistencial en establecimientos y/o gabinetes radiológicos particulares, y brinda atención domiciliaria en el área de su competencia.
AMBITO SOCIAL
» Participa y/o colabora en la organización y realización de campañas generales de salud, conjuntamente con otros profesionales de la salud.
OTROS AMBITOS
» En entidades públicas o privadas, como asesor, consultor o investigador dentro del área de su competencia.
¿QUE HACE UN RADIÓLOGO?




































































